
Il mal di testa nei bambini è un disturbo comune del quale troppo spesso non si conosce la causa ed è difficile individuare i rimedi. Può essere ovviamente legato ad uno stato influenzale, ad un disturbo visivo, ma molto più frequentemente è causato da stress e disagi di tipo emotivo. La conferma arriva da diversi studi recenti condotti in proposito. Nel corso di un recente congresso internazionale dedicato alle cefalee, il professor Vincenzo Guidetti, neuropsichiatra della Sapienza di Roma, ha illustrato i sorprendenti risultati emersi da un progetto di ricerca condotto al MIT (Massachussets Institute of Technology) da Rebecca Saxe.
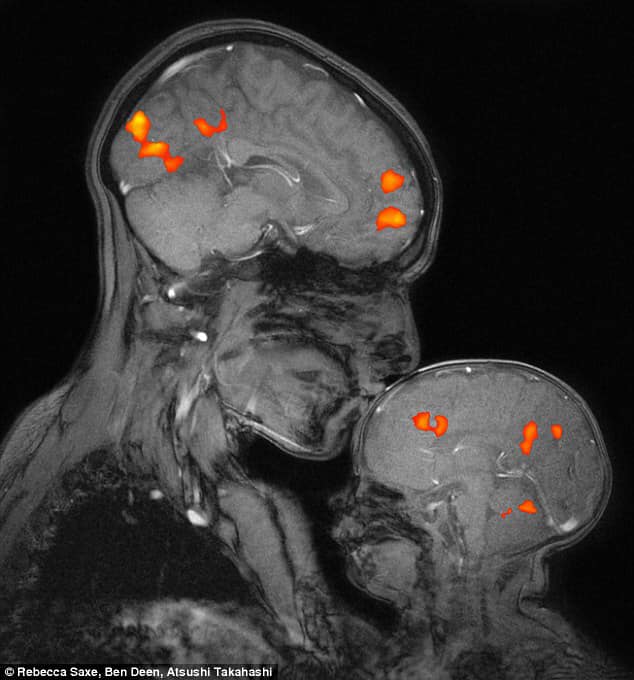
La scienziata ha fatto una risonanza magnetica che ha ripreso l'istante in cui dava un bacio sulla fronte di suo figlio, di soli 2 mesi. La fotografia è impressionante e decisamente commovente: il bacio ha attivato contemporaneamente le stesse aree del cervello nella mamma e nel bambino, a conferma che l'accudimento e l'amore creano un vero e proprio ponte emotivo tra chi offre amore e chi lo riceve. Un ponte emotivo che ha ripercussioni benefiche su specifiche aree del cervello e che attiva il cosiddetto processo di rispecchiamento emotivo. Questo sarebbe anche il motivo per cui spesso un bacio della mamma su un ginocchio sbucciato è più efficace di un cerotto!

Guidetti ha anche ricordato che proprio questo ultimo studio del MIT conferma quanto già si ipotizzava: la carenza affettiva da parte dei genitori può provocare disturbi di internalizzazione, di cui il mal di testa è una delle massime espressioni, soprattutto se questa carenza avviene nel periodo tra i 2 e i 5 anni quando il bambino costruisce la Theory of Mind, cioè la capaictà di comprendere le azioni e le emozioni dell'altro e reagire di conseguenza.
Ovviamente se il bambino ha mal di testa e forte dolore il paracetamolo (la comune Tachipirina) agisce efficacemente come antidolorifico ed è un farmaco sicuro, se usato nei giusti dosaggi. Tuttavia non è escluso che a volte basti un placebo. Secondo uno studio condotto dai ricercatori della Cleveland Clinic - che hanno riesaminato 21 studi precedenti che avevano messo a confronto i farmaci con un placebo - curare il mal di testa dei bambini con i farmaci avrebbe la stessa efficacia che farlo con un placebo.
Conclusione: solo se vengono utilizzati due prodotti contro il mal di testa specificatamente destinati agli adulti si otterrebbe qualche beneficio, e anche in questi casi si tratterebbe di un effetto minimo rispetto a un semplice placebo.
Jeffrey Jackson, coordinatore dello studio, ha spiegato sulla rivista JAMA Pediatrics, ha spiegato che dalle analisi emerge chiaramente che i più utilizzati e prescritti farmaci contro le emicranie avrebbero effetto solo sulle persone adulte, mentre sarebbero inefficaci sui bambini.
Il risultato dello studio sembra confermare, dunque, che spesso i bambini stressati o a disagio soffrono di mal di pancia o mal di testa che non vanno curati con le medicine ma con una buona dose di coccole e di dialogo con i genitori.
